对于乳腺癌脑膜转移这一晚期严重并发症,临床治疗难度大、预后差,诊疗策略的选择面临严峻挑战。近期,银丰(济南)医院陶荣杰主任团队收治一例39岁HR阳性/HER2阴性乳腺癌脑膜转移患者,通过制定个体化、多线整合诊疗方案,采用全身治疗与鞘内局部治疗相结合、靶向治疗联合化疗及抗血管生成治疗的协同策略,在肿瘤广泛脑膜转移的情况下有效控制病情进展,为同类疑难病例的治疗提供了宝贵的临床参考。
该患者为女性,39岁。2019年6月5日因右乳肿物就诊,穿刺病理确诊为右乳浸润性导管癌,免疫组化示ER 35%+、PR 15%+、HER-2 ++、Ki67 35%,遂行右乳腺癌根治术。2022年5月20日,因乳腺癌转移再次行子宫附件切除术,术后免疫组化为ER 30%+、PR 5%+、HER-2 +、Ki67 40%。
2024年5月18日,患者出现神经系统相关症状,颅脑MR检查提示脑脊髓膜转移。2024年10月29日,患者首次就诊于陶荣杰主任团队的神经肿瘤科。团队结合患者病史、病理特征及脑膜转移的临床特点,制定了全身与局部相整合的治疗方案:采用塞替派全身化疗联合塞替派鞘内注射,以针对性降低脑膜转移的局部肿瘤负荷;同时联用贝伐单抗进行抗血管生成治疗,改善肿瘤微环境并增加血脑屏障通透性;此外,基于患者HR阳性的分子特征,加用达尔西利联合氟维司群(CDK4/6抑制剂联合内分泌靶向治疗),以实现全身肿瘤的综合控制。


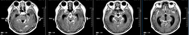
2025年3月31日,患者第四次入院,复查颅脑MR提示:脑内、软脑膜、延髓可见多发异常强化,提示多发转移瘤。根据病情变化,团队优化治疗方案,调整为塞替派联合德曲妥珠单抗治疗,以进一步强化靶向治疗效果。2025年6月10日,颅脑MR检查提示病情达到部分缓解(PR),脑膜转移灶较前明显改善,患者临床症状显著缓解。德曲妥珠单抗是一种HER2靶向抗体与DNA拓扑异构酶I抑制剂偶联物,用于治疗HER2表达的实体瘤,包括乳腺癌、胃癌、结直肠癌和非小细胞肺癌。

左:2025-3-31颅脑MR:脑内、软脑膜、延髓多发转移瘤。右:2025-6-10颅脑MR:病情达到部分缓解(PR)